البحث عن المنتجات
البحث عن المنتجات
أدخل مركز المنتج >
اتصل بنا
العربية
البحث عن المنتجات
أدخل مركز المنتج >
اتصل بنا
بيت / أخبار / أخبار الصناعة

أووين

مركز الأخبار

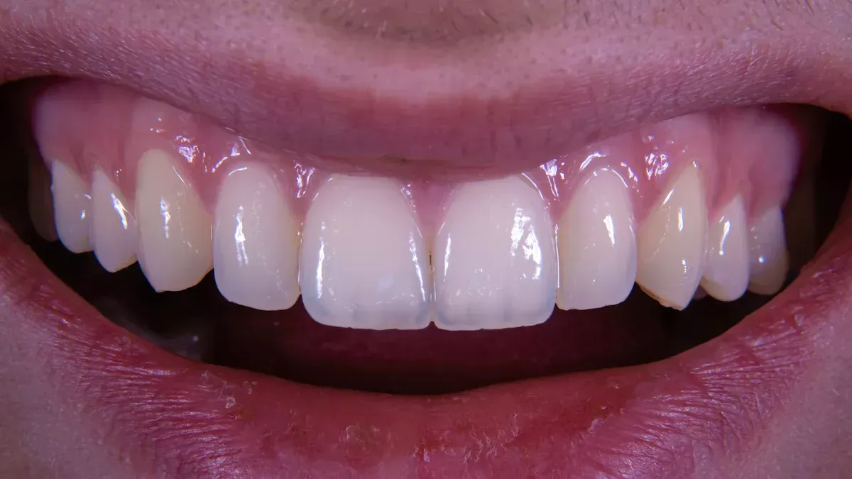
هل تلميع الأسنان هو نفسه تبييض الأسنان؟

لا، تلميع الأسنان وتبييض الأسنان ليسا نفس الشيء. تلميع الأسنان يزيل البقع الموجودة على السطح. كما أنه يجعل أسنانك ناعمة. التبييض يجعل أسنانك تبدو أفتح في اللون. معظم الناس، حوالي 78%، يعرفون أنهم مختلفون.

ما هي فرشاة Prophy؟

تساعدك فرشاة بروفي على تنظيف وتلميع أسنانك أثناء زيارات طبيب الأسنان. تقدم شركة Ouwen Medical خيارًا عالي الجودة بشعيرات ناعمة للعناية اللطيفة. يمكنك الحصول على تصميم يمكن التخلص منه لتحسين النظافة. استخدميه مع معجون بروفي لإزالة البقع والحفاظ على ابتسامتك مشرقة.

ما هي أفضل فرش الأسنان Prophy في السوق؟

في عالم العناية بالأسنان دائم التطور، تلعب فرش بروفي دورًا حاسمًا في طب الأسنان الوقائي. نظرًا لأن نظافة الفم أصبحت أولوية قصوى لكل من الممارسين والمرضى، فإن اختيار فرشاة الوقاية المناسبة يمكن أن يؤثر بشكل كبير على جودة الرعاية المقدمة.

مرحبًا بك في إرسال استفسارات إلى شركة ذات خلفية قوية في التصميم وتطوير المنتجات وإنتاجها.

فئة المنتج

روابط سريعة

اتصل بنا

رقم 8 Gongling Second Road ، Shuxin Village ، Changping Town ، مدينة Dongguan ، مقاطعة قوانغدونغ ، الصين
 86-13929448890+ / 86-13713374574+
 86-13929448890+ / 86-13713374574+
 86-769-81099096+
 86-769-81099586+
حقوق الطبع والنشر 2025  Dongguan Ouwen Medical Device Technology Co.,Ltd . Sitemap | سياسة الخصوصية